
Yayınlanma: 10 Ocak 2023 18:28
Güncellenme: 14 Aralık 2025 10:26
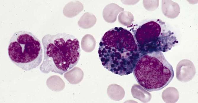
Eozinofil (EO), insan vücudundaki bağışıklık sistemi açısından oldukça önemlidir. Bağışıklık sistemi ise vücuda giren bakteri, virüs ve diğer hastalık yapıcı maddelerle savaşmak için beyaz kan hücreleri üretir. Kemik iliğinde üretilen bu akyuvarların türüne göre yaşam ömürleri değişebilmektedir. Bu hücrelerden biri olan eozinofil ise özellikle alerjik hastalıklarla yakından ilgilidir. Bazı hastalıkların araştırılmasında kanda eozinofil değerlerine bakılmaktadır. Yüksekliği veya düşüklüğü birçok hastalığın habercisi olabileceği gibi, bazı sağlık sorunlarını da beraberinde getirir. Eozinofiller sadece kan da bulunmaz balgam, idrar ve dışkıda da bulunabilmektedir. Peki eozinofil nedir? Eozinofil düşüklüğü ve eozinofil yüksekliği ne anlama gelmektedir? Değerleri kaç olmalıdır? İşte detaylar sizin için haberimizde.. Eozinofil bir tür beyaz kan hücresi olarak bilinir. Vücuttaki görevi ise halen daha kesin olarak bilinmemektedir. Fakat enfeksiyon hastalıkları ile savaşmaya yardımcı olurlar ve savaşırken iltihabın artmasına neden olabilirler. EOS testi ise eozinofil sayısının kandaki yüzdesinin belirlenmesini sağlayarak tedavi gerektiren durumları belirler. Eozinofil değerlerinin yüksek çıkması vücudun alerjen bir maddeye maruz kaldığını gösterir. Aynı zamanda parazitlere karşı vücudun savunma mekanizması geliştirmesi bu değerleri yükseltebilmektedir. Egzama gibi çeşitli deri hastalıkları, immun yetmezlik durumu, kollagen doku hastalıkları, ülseratif kolit, gastritler, bahar nezlesi, bazı ilaçların kullanımı, böbrek hastalıkları, addison hastalığı, astım, bazı kanser türleri bu değerleri yükselten faktörlerdir. Eozinofil yüksekliğinin belirtileri ise aşağıdaki gibidir: Enfeksiyondan kaynaklı ateş, öksürük, halsizlik, idrar yaparken ağrı Kaşıntılı döküntülü cilt Alerjik reaksiyonların artması Eozinofil değerlerinin düşük olması normal olarak kabul edilir. Fakat olması gereken değerin oldukça altında bir değer ise farklı hastalıkların habercisi olabilir. Bu düşüklük bağışıklık sistemini oldukça etkiler. Eozinofil düşüklüğüne sebep olan faktörler aşağıdaki gibi olabilir: Sürekli alkol tüketimi Aşırı kaygı ve stres hali Kan şekerinin düşük olması Doğum kontrol haplarının çok uzun süre kullanılması Bazı böbrek ve karaciğer rahatsızlıkları Cushing sendromu ve östrojen ilaçlarının yan etkileri Steroid artışı Kortizol salgılayan tümörler Eozinofil değerleri yaşa, cinsiyete ve kişinin sağlık durumuna göre farklılıklar gösterebilir. Bu değerler 500 ve yukarı olarak ele alınır. Genel olarak sağlıklı bir insanda normal olarak kabul edilen değerler aşağıdaki gibi olacaktır; Orta derece olduğu değerler 500- 1500 arasıdır. Orta yüksek derecedeki değerler 1500- 5000 arasıdır. Yüksek olduğu değerler ise 5000 üzerindedir.Eozinofil Nedir?

Eozinofil Yüksekliği ve Eozinofil Düşüklüğü Ne Anlama Gelir?

Eozinofil Değerleri Kaç Olmalıdır?